
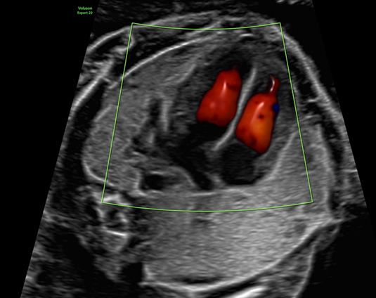
Die Herzechokardiografie ist eine ausführliche Untersuchung des kindlichen Herzens, in der die Entwicklung und die Funktion beurteilt werden. Der optimale Zeitpunkt für die Untersuchung ist die 20.-22. Schwangerschaftswoche. Es ist aber auch möglich im Rahmen der frühen Fehlbildungsdiagnostik (Ersttrimesterscreening) eine detaillierte Herzbeurteilung durchzuführen. Beurteilt werden die Lage und Größe des Herzens, das Aussehen und die Funktion der Herzkammern und Herzklappen sowie der zuführenden Venen und abgehenden Gefäße. Durch die gezielte Echokardiographie mit Farbdoppler, gepulstem Doppler und M-Mode lässt sich der Großteil aller angeborenen Herzfehler erkennen. Die Voraussetzungen hierzu sind eine spezielle Ausbildung und Erfahrung des Untersuchers und eine hohe Qualität des Ultraschallgerätes.

