
frühe Fehlbildungsdiagnostik
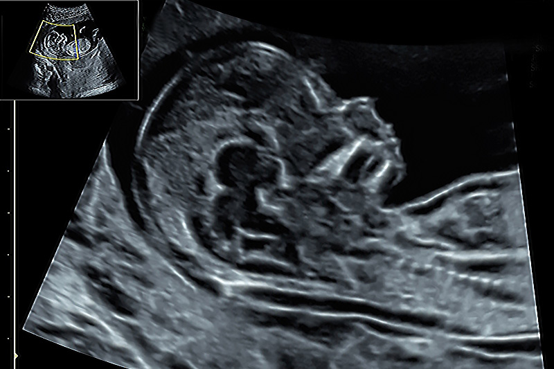
Das Ersttrimester-Screening ist eine vielschichtige Untersuchung, die zwischen der 12. und 14. Schwangerschaftswoche durch-geführt werden kann. Sie dient dazu, Ihr Risikoprofil zu bestimmen und die Schwangerschaftsbetreuung individuell an Ihre Bedürfnisse anzupassen.



Bei der Untersuchung erfolgt eine Überprüfung des Entwicklungszustandes des Embryos und eine erste Organuntersuchung, soweit es die Verhältnisse des frühen Schwangerschaftsalters zulassen. Zahlreiche Fehlbildungen sind zu diesem Zeitpunkt bereits erkennbar, jedoch sind einige Organe (z.B. Herz, Wirbelsäule) zu diesem Zeitpunkt noch nicht abschließend beurteilbar. Eine abschließende Organbeurteilung kann erst zu einem späteren Zeitpunkt, üblicherweise in der ca. 20./22.SSW, beispielsweise über den weiterführenden Organultraschall (Feindiagnostik) erfolgen.
Durch eine Baustelle können unsere gewohnten Parkplätze nicht genutzt werden.
Ausweichparkplätze finden Sie in der Mozart oder Alpenstraße.