
Bester Zeitpunkt: 17. Schwangerschaftswoche (ab 15.SSW möglich)
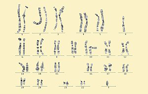
Entnahme von Fruchtwasser durch die Bauchdecke mit einer dünnen Nadel zum Ausschluß von Chromosomenkrankheiten.

Bei Auffälligkeiten in der kindlichen Entwicklung oder Organfehlbildungen (z.B. Herzfehlern) kann eine Abklärung der kindlichen Erbanlagen mittels Fruchtwasseruntersuchung (Amniozentese) erfolgen.
Eine der bekanntesten Chromosomenstörungen ist die Trisomie 21, das Down-Syndrom. Das Risiko für die Geburt eines Kindes mit dieser Chromosomenstörung steigt mit zunehmendem Alter der Mutter an. Neben dem mütterlichen Alter können aber auch andere Ursachen, wie eine vergrößerte Nackentransparenz, ein auffälliger NIPT (nicht invasiver Pränataltest) oder Erbkrankheiten in der Familie ein erhöhtes Risiko bedeuten.
Durch eine Baustelle können unsere gewohnten Parkplätze nicht genutzt werden.
Ausweichparkplätze finden Sie in der Mozart oder Alpenstraße.