
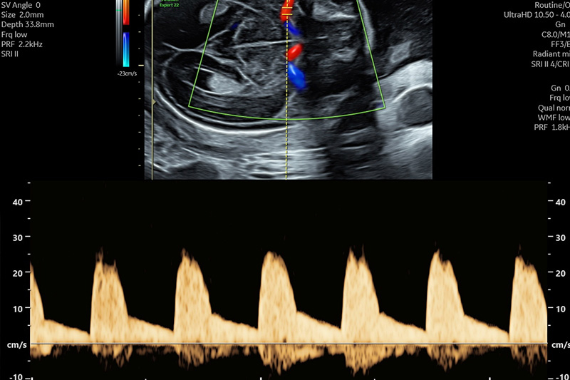
Die Dopplersonografie ist eine Untersuchung in der die Gefäße des Kindes, der Placenta und der Gebärmutter beurteilt werden. Insbesondere der Strömungswiderstand und die Blutflussgeschwindigkeiten
geben Aufschluss über eventuelle Risikokonstellationen und können in Fällen von kindlicher Wachstumshemmung den optimalen Geburtszeitpunkt für das Kind bestimmen.
Es ist möglich mittels Screening eine kindliche Wachstumshemmung und die Entwicklung einer Präeklampsie („Schwangerschaftsvergiftung“) abzuschätzen und die weitere Schwangerschaftsbetreuung individueller anzupassen.
